诚念“法轮大法好” 八旬老人骨折16天愈合(图)

EMail 转发 打印 安装苹果智能手机明慧APP 安装安卓智能手机明慧APP
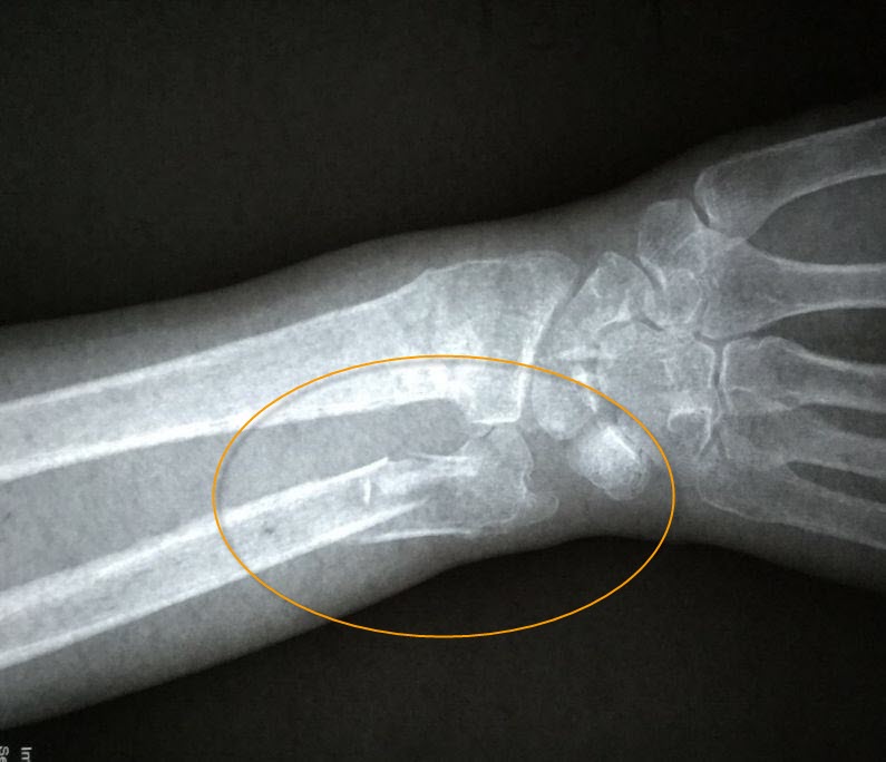
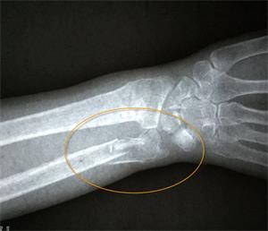
【明慧网二零一九年二月二十四日】〖大陆来稿〗二零一九年一月二十八日上午十时许,现年八十三周岁的北京市民善珍奶奶(化名)在家中客厅穿衣时,不慎摔倒,右手腕部戳在餐桌一角,很疼痛。当时家人将老人送至就近医院检查,拍片结果显示如图1。检查报告单中描述为:右侧桡骨、尺骨远段可见骨质断裂,骨折端掌侧成角,远折端背侧移位(图2)。

'图1'
图1

'图2'
图2

医生看了片子说:“年轻人必须要做手术,否则骨头长不好,但是老人年纪大了,做不做手术,由家里人做决定。”

见到检查结果,家人很着急,考虑到老人的年纪,立即将老人转往北京积水潭医院(三甲公立医院,除西医各类骨科外还含中医正骨科)。积水潭医院的医生也建议动手术。

老人的儿子和其他家人商议并经老人同意后,决定采取保守治疗,由医生正骨后打上石膏固定,然后就带老人回了家。

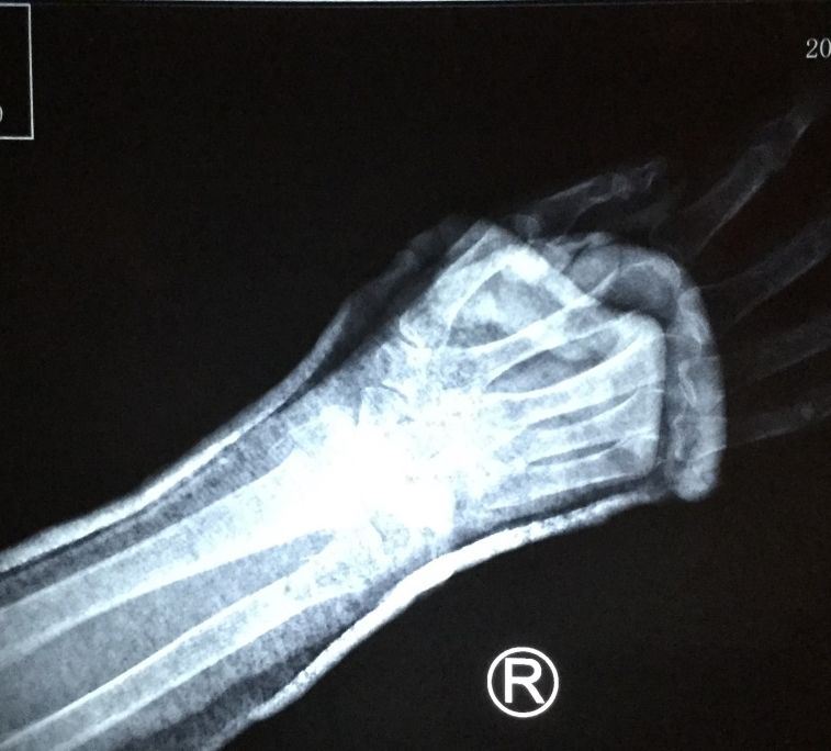
二月十三日,老人在积水潭医院复查拍片时,医生发现老人骨折处竟基本长愈,如图3。医生表示:老人家这个年纪了,一般都骨质疏松,半个月的时间,要想愈合到这种程度,就是年轻人,也是不容易的。并且说:老人的恢复情况确实很好。

'图3'
图3

老人及家人看到底片,都很开心,连说“没想到”、“真是奇迹”。

善珍奶奶至今,学习法轮大法两个多月,每天听李洪志大师的讲法录音,越听越喜欢。这次骨折的整个过程中,由摔倒后,直至打石膏完成回家,老人家都在心里诚心诚意念着“法轮大法好,真善忍好”。同时在身体的感受上,也没有疼痛难受的状况,“一点都不疼”。当时老人摔在地上是自己爬起来的,后来家人问老人心里怎么想,老人说,师父说了,修炼人有师父保护,不会有问题。

接骨后老人回到家,一些热心的法轮大法修炼者前来看望,并主动和老人一同学法、炼功,善珍奶奶非常高兴。老人说:“是大法师父的慈悲保护与能量加持,我的断骨十六天就好了。”

老人的儿子是一位法轮功修炼者,老人亲眼见到自己孩子的整个修炼过程,知道修炼法轮功的都是善良人,对于法轮功学员被邪党迫害,她很同情。她因没有文化,过去只是断断续续的听过师父的讲法,但每次老人都是很用心听。

善珍奶奶认为,做人就应该按照师父教导的“真、善、忍”的原则,不断净化自己的心灵,这样的生命就能越来越感受到法轮大法的慈悲与美好。

(c) 1999-2025 明慧网版权所有




2026年神韵

Advertisement